Makna Mimpi Gusi Atas Berdarah Dibalik mimpi tentang gusi atas berdarah diartikan sebagai sinyal yang buruk. Diartikan bahwa anda akan mendapatkan suatu hal buruk. Yaitu berupa kehilangan seseorang yang mat dicinta dan di sayang dalam hidup. 2. Arti mimpi gigi orang lain berdarah Memimpikan gigi orang lain berdarah menandakan bahwa masalah Anda akan segera berakhir, bahkan jika Anda tidak melihat harapan. Tuhan ada di sisimu.. 
Menelah Air Ludah Gusi Berdarah Apakah Membatalkan Puasa Pecinta
Arti mimpi mulut pertanda buruk. Arti Mimpi Gigi Atas Copot 4 Buah Seputar Buah. Untuk pria yang sudah berkeluarga, arti mimpi tentang gusi berdarah adalah akan ada sebuah pertolongan yang sebenarnya anda sendiri tidak memerlukan petolongan atau bantuan tersebut, meski demikian sebaiknya anda jangan menutup diri seandainya ada orang lain yang. Arti mimpi gusi berdarah Ada sebuah pendapat saat mendapat mimpi tentang mimpi gusi berdarah, biasanya tabir mimpinya terkait mengenai suasana beruntung. meski demikian cerita pada mimpi yang dialami membuat tabir mimpinya tidak sama tergantung siapa yang memimpikannya.
Arti mimpi gusi bengkak dan berdarah Jika anda bermimpi pendarahan dan radang gusi, secara tidak terduga, mimpi ini memberi anda pertanda baik. Pertanda bahwa seseorang yang memimpikan hal ini akan mendapatkan penghidupan yang tidak terduga. Anda tidak perlu terlalu memikirkan berapa nilainya. Arti Mimpi Melihat Darah - Mimpi bisa sangat aneh dan rumit. Dari beberapa mimpi yang aneh, mimpi melihat darah ini bisa saja bukan hal teristimewa. Menurut dari segi pandang orang Barat sendiri, darah merupakan simbol vitalitas. Dalam bermimpi melihat darah ini menunjukkan kekayaan serta seringnya menyiratkan tentang keberuntungan. 
Cara Mengatasi Gusi Sering Berdarah Informasi Kesehatan
GridPop.ID - Gusi berdarah menimbulkan rasa sakit dan perih terhadap penderitanya.. Meski bukan menunjukkan penyakit berbahaya, ada beberapa penyebab gusi berdarah.. Bukan juga permasalahan yang serius, namun harus mengetahui cara mengatasi gusi berdarah yang benar.. Kendati demikian, untuk beberapa kasus, gusi berdarah juga dapat menandakan adanya suatu penyakit. Arti mimpi gusi bengkak dan berdarah. Diawali untuk remaja putri, arti mimpi tentang gusi bengkak dan berdarah adalah Kamu mungkin merasa kurang beruntung, tapi yakinlah semua itu tidak benar. Mimpi tentang Mimpi gusi bengkak dan berdarah yang kamu alami menjelaskan bahwa seseorang disana selalu menginginkan kehadiran kamu, namun sulit.
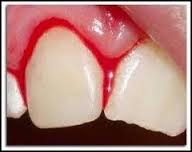
Gusi berdarah adalah kondisi yang menandakan adanya peradangan di gusi akibat penyakit tertentu. Kondisi ini juga dapat terjadi pada seseorang yang memiliki kebiasaan menyikat gigi terlalu keras, atau menderita gangguan pembekuan darah. Gusi berdarah yang terjadi sesekali umumnya dapat diatasi dengan menjaga kebersihan mulut. Arti Mimpi Gusi Berdarah Banyak Untuk Remaja Laki-laki Sama dengan dua arti mimpi diatas Arti Mimpi Gusi Berdarah Banyak juga sebuah firasat atau pertanda kurang baik bila di alami oleh pria remaja mimpi ini merupakan isyarat bahwa ada hal-hal yang selama ini Anda abaikan akan menjadi masalah dikemudian hari. Namun pada perjumpaan sebelumnya. 
Gambar Kartun Lucu Animasi Gambar Kartun Sakit Gigi
Arti mimpi gigi patah sampai berdarah dipercaya melambangkan kekecewaan. Dari berbagai kepercayaan, arti mimpi ini menandakan bahwa seseorang kecewa dan kesal tentang sesuatu. Baik yang sengaja atau tidak dilakukan kita kepadanya. Oleh karenanya jika bermimpi ini kita bisa mencoba mencari tahu orang yang berkaitan. 7. Arti mimpi semua gigi patah 1. Radang gusi. Salah satu penyebab gusi berdarah adalah radang gusi atau gingivitis. Kondisi ini lebih berisiko dialami orang yang kurang menjaga kebersihan gigi dan mulutnya. Hal ini kemudian akan mendorong terbentuknya plak atau karang gigi di sekitar gusi. Jika dibiarkan, plak dan karang gigi dapat mengiritasi gusi dan menyebabkan peradangan.
Tips Mencegah Gusi Sering Berdarah. Berikut ini adalah beberapa tips yang dapat Anda lakukan untuk mencegah gusi sering berdarah: Gunakan sikat gigi yang berbulu lembut dan sikatlah gigi secara perlahan. Sebisa mungkin lakukan flossing gigi dua kali sehari untuk mencegah timbulnya plak pada gigi. Gunakan obat kumur setiap hari. Inilah tafsir mimpi 2d mimpi kuping kiri berdarah dan penjelasan lainnya yang erat berkaitan dengan mimpi dan tafsir makna dan artinya dalam kehidupan sehari-hari. Untuk pria yang sudah berkeluarga arti mimpi tentang gusi berdarah adalah Akan ada sebuah pertolongan yang sebenarnya anda sendiri tidak memerlukan petolongan atau bantuan tersebut. 
PEMDES KRAGILAN2001 6 Penyebab Gusi Berdarah
Arti Mimpi Cacing di Gusi Bermimpi tentang cacing di gusi Anda mungkin menunjukkan bahwa Anda merasa terancam atau rentan dalam beberapa hal, dan cacing mungkin mewakili ketakutan atau kecemasan yang menggerogoti Anda. Mimpi itu mungkin merupakan metafora untuk sesuatu yang busuk atau rusak yang terjadi dalam hidup Anda. Arti Mimpi Batuk Darah Apabila sobat mendapati mimpi seperti ini, kemungkinan besar itu adalah pertanda yang buruk. Yang artinya kamu akan menemukan suatu kekecewaan karena semua yang kamu kerjakan selama ini menjadi sia- sia.








